244 541 506 / 962 748 567

Marinha Grande

Seg - Sex: 09h30 - 13h00 / 14h00 - 20h00      Sáb: 09h30 - 13h00 / 14h00 - 17h30      Dom: Encerrado

Casos Clínicos

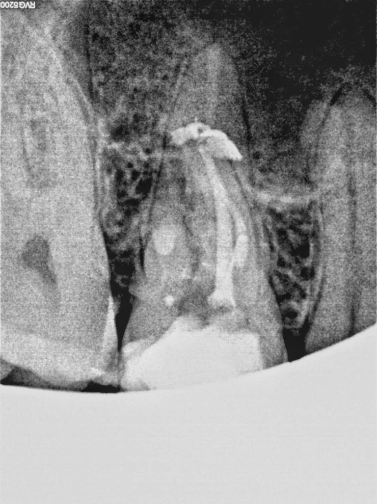
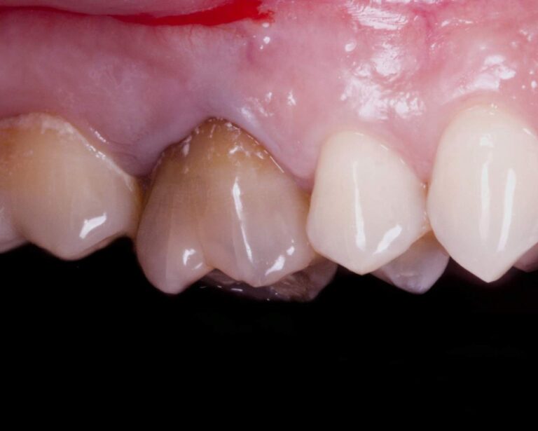
Cirurgia apical para remoção de quisto